上下楼钻心地疼,蹲起困难,连走路都感觉骨头在“磨着疼”……这不仅是很多中老年人的日常,更是膝骨关节炎带来的长期煎熬。
保守治疗效果不佳,但又害怕传统全膝关节置换手术创伤大、恢复慢,很多患者陷入了两难。
其实,还有一种选择——单髁置换术。它就像给膝盖做“补牙”,只替换磨损部位,精准、微创、恢复快,正在帮助越来越多患者重获行走自由。
77岁奶奶膝盖痛了20年,如今重获行走自由
77岁的张奶奶,就是这项技术的受益者。
她的右膝疼痛已经持续了20多年,这些年全靠吃止痛药撑着,但疼痛总是反反复复。最近一段时间,病情加重得厉害,连简单的家务都做不了,生活质量大打折扣。
在长治市中医医院就诊后,骨伤科团队在张岩斌主任的带领下,为张奶奶做了详细的检查。影像结果显示:右膝关节间隙明显变窄,软骨磨损严重,是典型的骨关节炎。
考虑到张奶奶的年龄和身体状况,团队没有选择“一刀切”的全膝置换,而是为她量身定制了个体化方案——右膝关节单髁置换术。

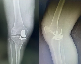
术前影像资料

术后影像资料
手术很顺利,术后在医护团队的精心照护下,张奶奶的恢复比预期还要快。出院那天,她已经能稳稳当当地自己走路,困扰了20多年的膝盖痛基本消失了,脸上也露出了久违的笑容。

单髁置换术,听起来可能有点陌生,其实它是精准医疗在关节外科的生动实践。
打个比方,如果全膝置换是把坏牙连根拔掉换一颗新牙,那单髁置换就是只把牙齿上坏掉的那个洞补起来——只替换磨损的病变部分,最大限度保留患者自己的健康组织和韧带。
这意味着:✅ 创伤更小✅ 出血更少✅ 恢复更快✅ 术后感觉更自然
这次手术的成功,也展现了长治市中医医院骨伤科在关节置换技术和快速康复方面的综合实力。
长治市中医医院骨伤科:让更多人健康行走
作为省级重点专科,长治市中医医院骨伤科一直坚持中西医结合的治疗理念,在高龄、复杂的骨科手术方面积累了丰富经验。
我们不仅拥有成熟的关节置换技术团队和规范的康复体系,更始终坚守“多学科协作、微创技术、快速康复”三大核心理念,致力于为每一位关节疾病患者提供真正个性化、精准化的治疗方案。
如果您或家人正被膝关节问题困扰,欢迎来院咨询。让我们一起,助力更多人远离疼痛,重拾健康行走的底气。
专家介绍

张岩斌
副主任医师,骨伤科主任,硕士研究生。中国中医药研究促进急诊分会常务理事、中国医学救援学会动物致伤救治分会常务理事、中华医学会关节外科分会委员、中国动物致伤防治联盟全国委员、山西省医师协会急诊医师分会动物致伤学组副主任委员、山西省生理学会重症医学专业常务委员、山西省创伤救治联盟委员、长治医师协会急诊分会副会长、长治健康协会急诊专业委员会副主任委员、长治医师协会第一届骨科医师分会常务委员,获得“最美太行医师”的称号。工作十余年,长期从事急诊急救及创伤的救治工作,多次参加了重大突发事件的救援工作。
擅长运用中西医结合治疗各种骨折、脱位、皮瓣修复、腰腿痛,能够完成全髋、半髋、全膝及单髁关节置换术,处理各种急危重症、各类中毒等病人的抢救工作。