华讯小记者声明

长治二院普外二病区成功完成“腹腔镜下肝脓肿切开+腹腔引流术”

2022-11-08 20:24:28    来源:长治市第二人民医院    


图片图片

图片

患者陈先生因上腹部疼痛伴寒颤高热4天,来到长治二院就诊,经相关检查考虑肝脓肿,遂住入长治二院普外二病区。患者入院时全身乏力,精神差,伴寒颤高热,最高体温达39.5℃。患者喜饮酒,有“乙肝”病史。


继续检查发现,患者感染灶位于肝脏左外叶2-3段,因感染严重,引起了寒颤高热、败血症,已经出现肝功能异常表现,若不积极处理,极可能引发肝衰竭等并发症,从而危及患者生命,值班医生及时请示了郭红伟主任。


图片


图片
图片



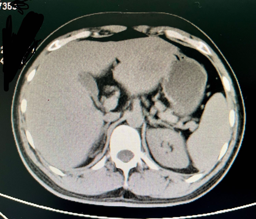
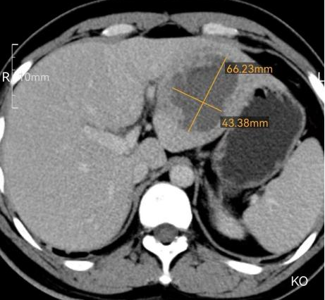
术前增强CT结果:肝脏占位,考虑脓肿。面积约6.7cm*4.4cm



郭红伟主任查看了患者后,详细分析病情:肝脏质脆,易出血,患者脓肿位置深,定位困难;而且陈先生的的脓肿除了“巨大”还是“多腔”,常规穿刺可能出现几个情况:


一是定位不准,多次穿刺对肝脏损伤大,甚至引起肝脏局部坏死;

二是脓肿清除不干净,或污染腹腔,导致腹腔感染或二次复发;

结合患者病史、各项检查资料、患者家属意见及科室讨论后決定在全麻下利用腹腔镜行肝脓肿切开引流术。

经过精心准备,手术紧急进行。郭红伟主任带领团队在患者腹壁上打了3个总长度不到1cm的小孔,术中仔细阅片,因气腹影响,定位困难,在没有术中超声定位的情况下,凭借丰富的临床经验,精准定位,在腹腔镜下从肝脏的第3段正面穿刺,一次成功,避免了肝脏多次损伤,抽吸脓液后仔细游离肝左外叶的血管、组织,成功打开了肝脓肿壁,分离脓肿间隔,从中引流出了300多毫升的脓液。

扩大创面后彻底清洗脓腔,并于腔内放置引流管,为防止脓液再生后引起腹腔扩散,右侧肝下及左侧脾窝各放置引流管一根。一个小时,手术顺利结束。

图片

术中探查情况


图片




术后第一日,患者体温即恢复正常,无反复,患者感觉良好,无不适。术后第2天及第6天复查血常规、肝功能等各项指标逐渐下降至正常。术后一周患者康复出院。


图片

术前


图片

术后2天


图片

术后6天


“能微创,就不开刀;用更少的损伤,为病人解决更大的难题,是我们科室的宗旨。”郭主任说到。


图片


科室推荐


图片



普外二病区是以肿瘤治疗为特色的专业学科,主要开展肿瘤外科及普通外科各种疾病的诊断与手术治疗。对胃癌、结直肠癌、甲状腺癌、乳腺癌、肝癌、肾癌、胆道肿瘤、胰腺肿瘤、食管癌、肺癌手术治疗具有丰富的经验。对外科相关疾病的诊断与手术治疗有:肝内外胆管结石、急慢性胆囊炎、胆结石、急慢性阑尾炎、消化性溃疡合并穿孔、急慢性胰腺炎、肠梗阻、各种腹外疝、肝囊肿、肝硬化合并门脉高压症、脾功能亢进、大隐静脉曲张、痔疮、肛瘘、甲状腺大部切除、胰十二指肠切除术等。成功开展了各种创伤及危重病人的抢救与手术治疗。率先在长治地区开展了痔上粘膜环状切除术(PPH术),治疗重度混合痔取得了良好的疗效,率先在我市开展了腹腔镜下经腋路甲状腺肿瘤切除术,开展了胸腹腔镜下的微创手术治疗如:腹腔镜胃癌根治术(包括全腹腔镜全胃切除术)、腹腔镜下胰体尾+脾脏切除术、腹腔镜结直肠癌根治术、胸腹腔镜联合食管癌根治术、腹腔镜胆总管切开+胆道镜探查取石+“T”管引流术,腹腔镜下贲门周围血管离断+巨脾切除术、肝脏囊肿开窗引流术、胸腔镜下肺叶切除术、肺癌根治术、肺囊肿切除术、腹腔镜下肾癌根治术、肾部分切除术、肾囊肿切除、胆囊切除术、腹腔镜疝修补术、腹腔镜消化道穿孔修补术、阑尾切除术等。常年与上海东方肝胆外科医院,中国医学科学院肿瘤医院,浙江大学附属邵逸夫医院,山东大学齐鲁医院,山西省肿瘤医院,山西大医院、山西医科大学附属第一医院等全国知名专家、教授联合开展手术。

现设床位33张,共有医护人员16人,其中主任医师1人,副主任医师3人,主治医师2人,住院医师1人,医学硕士3人,副主任护师1人,主管护师3人,护师5人。



名医推荐


图片


 郭红伟 

普外二病区主任

主任医师

教授

      2008年荣获山西省“五一劳动”奖章。对胃癌、结直肠癌、食管癌、肺癌、肝癌、胆囊癌、甲状腺癌、乳腺癌、肾癌、胰腺肿瘤以及肝内外胆管结石、肝硬化合并门脉高压症、胆囊结石、腹外疝等外科相关疾病的诊断与手术治疗具有丰富的经验。擅长:腹腔镜下胃癌、结直肠癌根治术,腹腔镜胆总管切开+胆道镜探查取石+“T”管引流术,腹腔镜胆囊切除术,腹腔镜疝修补术,腹腔镜阑尾切除术,腹腔镜甲状腺肿瘤切除术,胸腹腔镜联合食管癌根治术等。


图片

图片

无痛分娩——做无痛分娩——做快乐幸福妈妈

国家级继续医学教育项目——老年髋部骨折基础诊疗思路与能力建设专项培训班在长治二院举行

触目惊心丨脚长巨大痛风石“啃掉”脚骨头

海报丨日常防疫小贴士,一起来看


图片


            供   稿丨马瑞波 杨  波 

  编   辑丨卞  晨

  审   雷  赫


图片


[责任编辑:曹炜君]
呵护地球
鲁冰花

关于我们| 网站概况| 法律顾问| 服务条款| 人员查询| 广告服务| 供稿服务| 合作伙伴| 网站声明| 版权所有| 联系我们

有害短信息举报 抵制违法广告承诺书 阳光· 绿色网络工程 版权保护投诉指引 网络法制和道德教育基地 北京通信局 新闻信息服务许可证 互联网出版许可证

电话:010-63607677  邮箱:huaxunzx@163.com

备案号:京ICP备17046357号-1

Copyright© 2016 Huaxun.All Rights Reserved